Resultaten

Benieuwd naar de effectiviteit van onze lasertherapie? Hier vind je resultaten van klachten die we succesvol hebben behandeld. Let op: sommige foto’s kunnen open wonden, bloed of verkleuringen bevatten. Heb je vragen of wil je weten wat we voor jou kunnen betekenen? Neem gerust contact met ons op!

Een goed resultaat Herstel na een botbreuk De botbreuk ontstond in december 2023 en na 9 à 10 maanden was er nog steeds geen zichtbare botaanmaak. Eind oktober zijn we gestart met lasertherapie en binnen slechts 4 weken was de botbreuk volledig hersteld! Lees meer
Herstel na een botbreuk Herstel na een botbreuk
Een goed resultaat Gordelroos bij kind Gordelroos is een zeer vervelende aandoening die erg pijnlijk is. In de praktijk kwam een kind binnen met gordelroos. Het kind had erg veel pijn en was bang dat de behandeling nog meer pijn ging doen. Dit is met lasertherapie gelukkig niet het geval! Het kind was namelijk binnen 4 behandelingen/ 1 week volledig hersteld! Lees meer
Gordelroos bij kind Gordelroos bij kind
Een goed resultaat Wond herstel na een val Deze patiënt had een wond opgelopen door een val met de fiets. De wond toonde tekenen van een infectie door de roodheid en glans eromheen. Deze patiënt werd behandeling voor zijn blauwe plekken, wond en vocht in zijn been. Lees meer
Wond herstel na een val Wond herstel na een val
Een goed resultaat Herstel blauwe plekken na een val Lees meer
Herstel blauwe plekken na een val Herstel blauwe plekken na een val
Een goed resultaat Sleutelbeen fractuur Lees meer
Sleutelbeen fractuur Sleutelbeen fractuur
Een goed resultaat Herstel bij een gebroken knieschijf Deze patiënt had na een val van zijn fiets zijn knieschijf gebroken. De arts voorspelde dat een operatie of gips nodig zou zijn en het herstel minimaal 6/7 maanden ging duren. Door middel van lasertherapie is deze botbreuk binnen 6 weken volledig genezen! Lees meer
Herstel bij een gebroken knieschijf Herstel bij een gebroken knieschijf
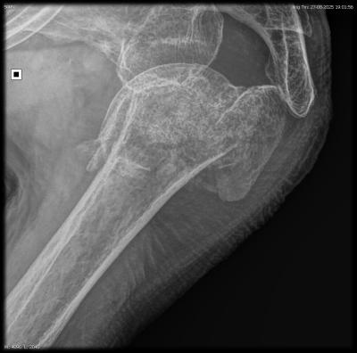
Een goed resultaat schouderbreuk bij 95 jaar Lees meer
schouderbreuk bij 95 jaar schouderbreuk bij 95 jaar
1/10
Neem contact op Bel ons Mail ons
Cookies op Centrum voor Lasertherapie Centrum voor Lasertherapie gebruikt zowel functionele als analytische cookies. Hierdoor kan de website goed functioneren en worden bezoeken op de website goed gemeten. Daarnaast kunnen er marketingcookies worden geplaatst als je deze accepteert. Met marketingcookies kunnen wij de ervaring op onze website persoonlijker en meer gestroomlijnd maken. We kunnen je namelijk nuttige advertenties laten zien en zo je ervaring persoonlijker maken. Liever toch geen marketingcookies? Dan kun je deze hieronder weigeren. We plaatsen dan enkel het standaardpakket van functionele en analytische cookies. Je kunt je voorkeuren later nog aanpassen op de voorkeuren pagina.
Accepteren Weigeren
Cookie