Herstel na een botbreuk

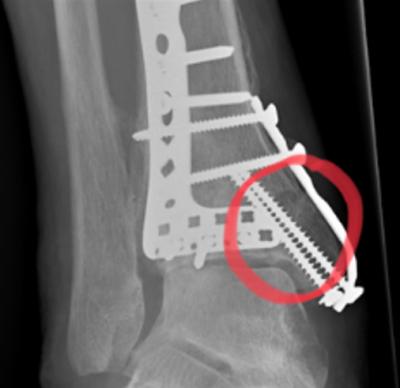
De botbreuk ontstond in december 2023 en na 9 à 10 maanden was er nog steeds geen zichtbare botaanmaak. Eind oktober zijn we gestart met lasertherapie en binnen slechts 4 weken was de botbreuk volledig hersteld!
Patroon Centrum voor Lasertherapie
Over de behandeling

Op 25 oktober zijn we gestart met lasertherapie voor deze botbreuk, die na 10 maanden nog geen zichtbare botaanmaak liet zien. Dankzij een effectief behandelprotocol en de krachtige werking van lasertherapie was de breuk binnen 4 weken volledig hersteld!

Behandelprotocol:

  • De eerste 3 dagen achter elkaar behandeld
  • Vervolgens 2 keer per week
Herstel na een botbreuk 19-12-2023 Voor Herstel na een botbreuk Tussen Herstel na een botbreuk 25-11-2024 Na
Uit het oog van de patiënt:

"Binnen 3 behandelingen merkte ik al dat mijn voet een stuk minder dik en rood was. Na 2 weken was ook de pijn in mijn enkel een heel stuk minder, en ik kon al makkelijker lopen. Niet alleen heeft lasertherapie mij geholpen bij het herstellen van mijn botbreuk, maar ook bij het verlichten van mijn springscheen klachten als het gevolg van anders lopen door de pijn.

De orthopeed wilde bij de laatste controle geen röntgenfoto maken, maar Jessie zorgde ervoor dat ik ergens anders een foto kon laten maken om het volledige herstel te bevestigen. Deze foto's heb ik met blijdschap kunnen tonen aan de arts omdat mijn botbreuk volledig hersteld is. Nu kan eindelijk het plaatwerk eruit, en ik ben zó opgelucht!"

Contact opnemen Kan ik jou ook helpen? Neem contact op
Patroon Centrum voor Lasertherapie
Bekijk alle resultaten
1/10
Neem contact op Bel ons Mail ons
Cookies op Centrum voor Lasertherapie Centrum voor Lasertherapie gebruikt zowel functionele als analytische cookies. Hierdoor kan de website goed functioneren en worden bezoeken op de website goed gemeten. Daarnaast kunnen er marketingcookies worden geplaatst als je deze accepteert. Met marketingcookies kunnen wij de ervaring op onze website persoonlijker en meer gestroomlijnd maken. We kunnen je namelijk nuttige advertenties laten zien en zo je ervaring persoonlijker maken. Liever toch geen marketingcookies? Dan kun je deze hieronder weigeren. We plaatsen dan enkel het standaardpakket van functionele en analytische cookies. Je kunt je voorkeuren later nog aanpassen op de voorkeuren pagina.
Accepteren Weigeren
Cookie